PROMO

MEDIC CLINICA in UK - 48 Anunturi gasite pe RomaninLondra.com

Medic Roman UK Londra - Anunturi medic roman clinica romaneasca localizata in Londra UK. Anunturi clinici si medici romani in UK / Londra pe RomaninLondra.com

Terapie in Pestera cu Sare in Borehamwood, Londra

Salt Cave Halotherapy UK Terapie cu Sare in Borehamwood, Londra Peștera de sare Salt Cave Halotherapy UK oferă sesiuni de terapie cu sare pentru copii […]

Servicii Stomatologice Implanturi in Leicester, UK

Dental Clinic Derya Guzel Oferă Servicii Stomatologice de inalta calitate in Leicester, UK Oferim cele mai bune servicii de tratamente pacienților noștri, în special pentru … Continuă lectura Servicii Stomatologice Implanturi in Leicester, UK

Cabinet Stomatologic in Welwyn Garden - Century Dental Clinic

Century Dental Clinic este un cabinet stomatologic privat în inima orașului Welwyn Garden City, Londra Locația noastră în supermarketul Sainsbury’s ne permite să oferim pacienților […]

PROMO
Simina - Psihoterapie analitica in Londra UK

Vorbeste cu cineva care are cunostinte in domeniul psihologic si psihoterapeutic in Islington Londra UK Te pot ajuta sa vezi dincolo de sentimentele de tristete […]

Medic Pediatru Roman - Emanuela Manea

Vizitele regulate la medicul pediatru oferă părinților informații despre creșterea și dezvoltarea copilului Clinica noastră oferă o gamă largă de servicii medicale, iar consultațiile pediatrice […]

Simina Simion Psihoterapie Analitica si Consiliere Psihologica in UK

A vorbi cu cineva care are cunostinte in domeniul psihologic si psihoterapeutic va poate ajuta sa vedeti dincolo de sentimentele de tristete si singuratate Traind […]

PROMO
Clinica Stomatologica Romaneasca - SDA Dental Studio

SDA Dental Studio – Dentisti romani in Londra – Clinica romaneasca in Londra deschisă 7 zile pe săptămâna! SERVICII OFERITE: Stomatologie generala Albirea dintilor Estetica […]

Lee Dental Servicii Dentare Londra

Lee Dental & Implant Practice Cabinet Stomatologic Londra Va punem la dispozitie toate serviciile stomatologice de urgență, implanturi dentare, tratamente de canal, chirurgie dentara, cosmetica […]

Consultatie psihologica online Psiholog Diana Dan

Consultatie si Terapie Psihologica Online – Psihoterapeut & Psiholog Diana Dan Londra, UK Membru al Societatii Britanice de Psihologie – MBPsS Membru al Coaching Psychology […]

PROMO
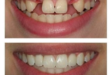
Clinica de Ortodontie in Bournemouth UK

Suntem o Clinica stomatologică specializata pe tratamente ortodontice in Bournemouth UK ! Fie ca ai de nevoie de: Aparate dentare Metalice Aparate dentare Ceramice si […]

Dentist roman Londra - Dr. Antoaneta Moscovici

Medic dentist roman in Londra –  Dr. Antoaneta Moscovici – 30 de ani de experienta in stomatologie ofer servicii de calitate ireprosabila Folosesc aparatura moderna, […]

Echipa Egodent ofera cosmetica estetica dentara Londra KT1

Egodent va ofera cele mai bune servicii dentare Londra iti doresti un zambet impecabil si sanatos? fateteleceramice e.max te  ajuta sa obtii rezultatul mult dorit in […]

Pagina 4 din 4 1 2 3 4
PROMO